Данилушкин Даниил Ильич

врачебный стаж с 2020 года
более 2 850 пациентов
Врач стоматолог-хирург-имплантолог
бесплатная консультация
  • Удаление зубов любой степени сложности;
  • Лоскутные операции;
  • Гингивэктомия;
  • Вестибулопластика;
  • Резекция верхушки корня;
  • Операции при воспалительных процессах (периостотомия, вскрытие абсцессов, флегмон, секвестрэктомия);
  • Дентальная имплантация в т.ч. с применением костно-замещающих технологий.
  • Хирургическая пародонтология (в области зубов и имплантатов)
  • Реконструктивные операции тканей пародонта в области зубов и имплантатов
  • Закрытие рецессий
  • Открытый и закрытый кюретаж
  • Аппаратная пародонтология
  • Костная пластика («открытый синус-лифтинг», «закрытый синус-лифтинг», «направленная костная регенерация»)
"
Я стремлюсь сразу делать свою работу так, чтобы она не нуждалась в доработке
"
Данилушкин Даниил Ильич
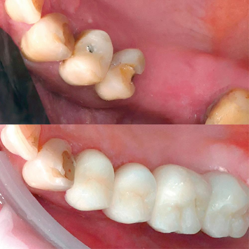
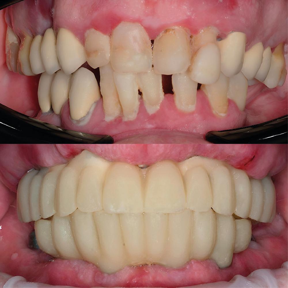
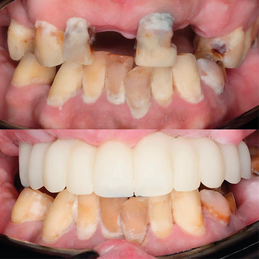
Работы врача
Дипломы и сертификаты